Diş Taşı Temizliği

Diş plağı nedir?
Plak; içinde bakterilerin, tükrüğün, yediğimiz içtiğimiz besinlerin birleşiminden oluşan yapıdır. Temizlenmediği taktirde bu bakteriler dişlerimize ve diş etlerimize zarar verir. Diş taşlarına ve çürüklere yol açabilir. Düzgün fırçalama ile plağı uzaklaştırabilrsiniz.

Diş taşı nedir?
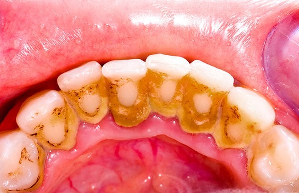
Uzun süredir dişte bulunan plağın sertleşmesiyle oluşan yapıdır. Rengi sarı veya kahve rengi olabilir. Diş taşı oluşumu tükrük yapınıza, yaşa, ağız bakımınıza ve beslenme şeklinize göre değişkenlik gösterir.
Diş taşı pürüzlü yapısı nedeniyle daha çok plak birikimine sebep olur.

Diş taşı temizletmek zararlı mıdır?
Tespit edilmiş diş taşının ordan alınmaması diş etinize zarar verir , ilerleyen safhalarında diş eti çekilmelerine ve kemik erimelerine sebebiyet verir. Mutlaka diş hekimi tarafından temizletilmesi gerekir.

Oluşmaması için neler yapabilirim?
Yemek yedikten yarım saat sonra dişlerimizi temizlemeliyiz (fırça , diş ipi, arayüz fırçaları vb...) temizleme şekli kişinin diş yapısına özeldir. Diş hekiminizden bu konuda yardım almanız önerilir.

Diş taşı temizliği uyuşturularak mı yapılır?
Diş taşının konumuna, derinliğine göre uyuşturulabilir. Rutinde temizlik işlemi uyuşturulmadan yapılmaktadır.

Ne kadar sıklıkla diş hekimine muayene olmalıyım?
Ortalama 6 ayda bir diş hekimi muayenesi önerilir. Ancak bu süre diş hekiminizin kararına göre değişmektedir.

Diş taşlarımı aldırdıktan sonra boşluk oluşur mu? Bu boşluklar geçer mi?
Diş taşlarınız diş eti çekilmesine sebebiyet verecek kadar ağızda bekletilidiyse, temizlik sonrası üçgensel boşluklarınız oluşacaktır, malesef çekilen diş etleriniz ve kemik kayıplarınız geriye gelmeyecektır. Boşluk oluşmasın diye aldırmak istemediğiniz diş taşlarınız ise daha fazla diş eti çekilmesine sebep olacaktır . Ertelemenizi tavsiye etmiyoruz.

 Logosu