DİŞLER NEDEN RENKLENİR?
Tüketilen bazı yiyecek ve içecekler, diş travması, kullanılan bazı kanal dolgu materyalleri, küçük yaşta alınan bazı ilaçlar ve yapısal bozukluklar dişlerde istenmeyen lekeler oluşturup diş renginin koyulaşmasına neden olur.
Renklenme türleri nelerdir?
1) İç Renklenme: Dişin içine nüfuz etmiş ve fırçalama ile giderilemeyen lekelerdir. Dişlerin oluşumu sırasında oluşan yapı bozuklukları da (ilaca bağlı veya fazla flor salınımına bağlı vs.) bu gruba girer. Beyazlatma işlemi bu tip vakaların büyük çoğunluğunda oldukça başarılı olur.
2) Dış Renklenme: Diş yüzeyine çay, kahve, kola, boyayıcı çeşitli gıdalardan ve sigaradan yapışan lekelerdir. Çoğunlukla diş taşı temizliği ile bu lekeler gider. Ancak bu etkenlere uzun süre maruziyet sonucu dişin iç yapısına da nüfuz edebilir. Bu durumda da beyazlatma oldukça faydalı olur.
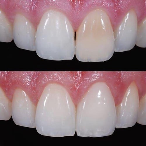
Diş beyazlatma nedir?
Diş beyazlatma işlemi lekelenme ve sararmaları gidermek amacıyla yapılan işlemdir. Bleaching denilen bu işlem ile diş hekimleri dişinizin rengini kullanılan özel jeller ile birkaç ton açabilir.
Diş beyazlatma güvenli midir yoksa dişlere zarar verir mi?
Yapılan araştırmalar ve mikroskobik çalışmalar içeriği özel olarak uygun dozda ayarlanmış beyazlatma solüsyonu kullanımında hiçbir zarar olmadığını göstermiştir. Diş beyazlatma nedeniyle dişlerde yapısal değişiklik ve kalıcı hasar oluşturduğunu gösteren tek bir çalışma yoktur.
Dişlerin beyazlatılmasında farklı konsantrasyonda ilaçlar kullanılabilir ancak bunların nasıl ve ne kadar kullanılacağına mutlaka diş hekimi karar vermelidir. Kısaca doğru ürünler ve diş hekimi kontrolünde, diş hekimi tarafından yapılan diş beyazlatma işlemi dişinize zarar vermez.
Diş Beyazlatma İşlemi Kimlere ve Hangi Durumlarda Uygulanmaz?
- 16 yaşından küçük genç bireylere,
- Hamilelere,
- Ciddi diş hassasiyeti olan bireylere,
- Diş eti çekilmesine bağlı olarak kök yüzeyinin açığa çıktığı durumlarda,
- Diş üzerinde çürük varsa,
- Dişi koruyan mine tabakası sağlıklı değilse,
- Beyazlatmada kullanılan maddelere karşı alerjisi olan bireylere.
Dişler herkeste aynı oranda mı beyazlar?
Diş beyazlatma tedavisi herkeste aynı oranda sonuç vermez. Dişin rengine yapısına ve renklenme türüne göre değişiklik gösterir.
Diş beyazlatmanın yan etkileri nelerdir?
Bütün beyazlatma ürünleri dişlerde az veya çok hassasiyete sebep olur. Bu durum, uygulamanın normal ve beklenen yan etkisidir. Doğru ürün, doğru uygulama şekli ile minimum hassasiyet yaşanır. Ayrıca işlem sonrası diş hekiminin önereceği hassasiyet önleyici jeller ve macunlar ile hassasiyet önlenebilir.
Beyazlatma etkisi ne kadar sürer?
Beyazlatma işlemi ile elde edilen sonuç kişinin diş yapısına bağlı olarak değişir ve yaklaşık 6 ay - 2 yıl arasında sabit kalır. Beyazlatma sonuçları oldukça kalıcıdır. Ancak kişinin yaşam tarzı, beslenme alışkanlıkları ve ağız hijyenine gösterdiği özen beyazlatmanın kalıcılığı üzerinde etkilidir. Özellikle beyazlatma sırasında ve sonraki en az 2 haftada dişleri boyayan maddelerden uzak durulmalıdır.
Diş beyazlatma yöntemleri nelerdir?
Diş beyazlatma yöntemleri kullanılan tekniğe göre dörde ayrılır:
1) Ofis Tipi Beyazlatma (Ofis Bleaching): Diş hekimi kontrolünde klinik ortamda yapılan beyazlatma işlemidir. Beyazlatmayı sağlayan jel özel ekipmanlar ile diş hekimi tarafından uygulanır. Kısa sürede dişin rengini 3-4 ton kadar açabilen en hızlı, güvenilir ve etkili beyazlatma sistemidir.
2) Ev Tipi Beyazlatma (Home Bleaching): Diş hekimi tarafından alınan özel bir ölçü ile kişiye özel hazırlanan plastik plakların içine yine diş hekimi tarafından dozu ayarlanıp verilen beyazlatma jellerinin koyulup ağıza takılması şeklinde uygulanır. Plakların ağızda 4-8 saat kalması gerekir. Bu süre dişin rengine ve kullanılan beyazlatma jelinin içeriğine bağlı olarak değişir.
3) Kombine Diş Beyazlatma: Diş hekimi tarafından klinik ortamında yapılan uygulama sonrası hekimin gerekli görmesi halinde daha etkili beyazlık elde edebilmek adına beyazlatma işleminin gerekli görülen sürede ev tipi beyazlatma olarak devam ettirilmesidir.
4) Kron İçi Beyazlatma (Walking Bleaching): Kanal tedavisi gören dişler kullanılan kanal dolgu maddeleri, dişin canlılığını yitirmesi, kanın diş içerisindeki kanallara sızıp pıhtılaşması gibi nedenlerle renk değiştirebilir. Bu beyazlatma yönteminde kanal tedavisi görmüş dişe diş hekimi tarafından özel beyazlatma jelleri uygulanır. Bu jeller dişe içeriden nüfuz ederek diş renginin istenen tona kadar açar. Bu işlem 1-2 gün arayla istenen renk elde edilene kadar tekrarlanır. İstenen renk elde edildikten sonra geçici dolgu yapılır. 7-10 gün sonra dişe kalıcı dolgu yapılır.